FOTO: Ko strdek ogrozi dihanje: V murskosoboški bolnišnici prvič prvič mehansko odstranili pljučni strdek

| v Lokalno

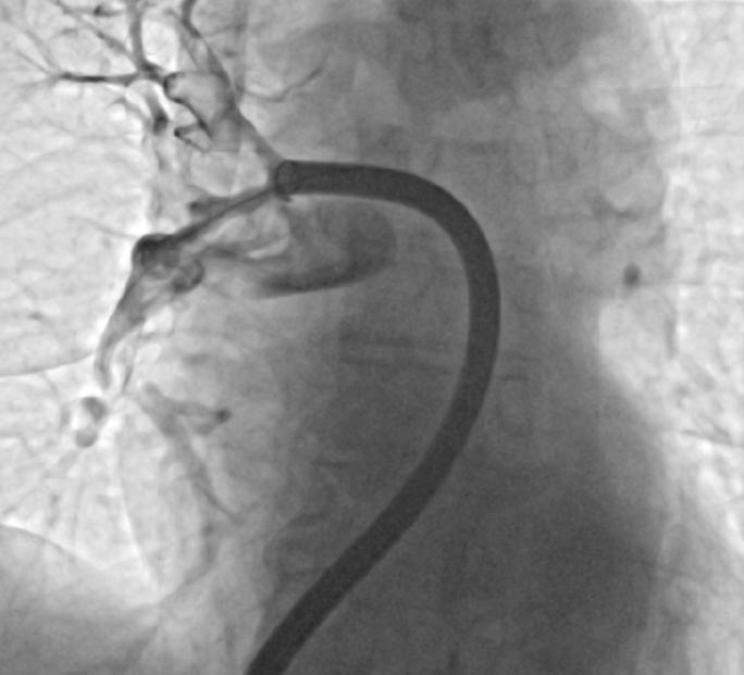
Sodobno zdravljenje pljučne embolije z mehansko aspiracijo tudi v Murski Soboti.

V Splošni bolnišnici Murska Sobota je bila opravljena prva uspešna mehanska odstranitev krvnega strdka iz pljučne arterije. 

Poseg je opravil zdravnik interventni kardiolog Danijel Crnčić, ob podpori zdravnikov internistov kardiologov, Urške Bencak Ferko in Dušana Kovača ter celotne ekipe interventne kardiologije.

Življenjsko ogrožajoče stanje

Pljučna embolija je resno in življenjsko ogrožajoče stanje, pri katerem krvni strdek – najpogosteje iz ven nog – potuje do pljuč in tam zamaši eno ali več arterij. Posledica je moten pretok krvi skozi pljuča, kar lahko povzroči težko dihanje, bolečino v prsih, omotico ali celo nenaden kolaps. 

»Gre za nujno stanje, ki zahteva hitro ukrepanje,« opozarjajo v bolnišnici.

Tradicionalno zdravljenje temelji na zdravilih za redčenje krvi (antikoagulantih), ki preprečijo rast strdka in omogočijo telesu, da ga postopoma razgradi. V hujših primerih zdravniki uporabijo tudi trombolitična zdravila, ki strdek raztopijo hitreje, vendar povečajo tveganje za krvavitve.

Vir: Splošna bolnišnica Murska Sobota.

Poseg je minimalno invaziven

V zadnjih letih pa se uveljavlja novejši pristop – mehanska odstranitev strdka s katetrom, ki omogoča, da zdravniki strdek fizično odstranijo iz pljučnih arterij, brez ali z minimalno uporabo zdravil za raztapljanje.

Poseg je minimalno invaziven. 

Zdravnik skozi večjo veno, običajno v dimljah, uvede cevko – kateter – in jo pod rentgenskim nadzorom vodi do mesta, kjer se nahaja strdek. 

Nato s posebnim sistemom ustvari podtlak in strdek dobesedno »posesa« iz žile ali ga mehansko zajame in odstrani.

Prednost te metode je predvsem v tem, da omogoča hitro izboljšanje pretoka krvi skozi pljuča in razbremeni srce, ki je pri pljučni emboliji pogosto močno obremenjeno. Hkrati zmanjšuje potrebo po močnih zdravilih, ki lahko povzročijo nevarne krvavitve – kar je posebej pomembno pri starejših bolnikih ali tistih z drugimi boleznimi.

Vir: Splošna bolnišnica Murska Sobota.

Metoda je posebej primerna za bolnike z hujšo obliko pljučne embolije ali za tiste, pri katerih uporaba trombolitičnih zdravil ni varna.

Razvoj takšnih minimalno invazivnih tehnik pomeni pomemben korak naprej v zdravljenju žilnih bolezni. 

»Pri pljučni emboliji, kjer so minute lahko odločilne, možnost hitre mehanske odstranitve strdka odpira nove poti za reševanje življenj in izboljšanje kakovosti okrevanja,« so še dodali v murskosoboški bolnišnici.

Preberite še

Komentarji

novveter

Bolnišnica napreduje iz dneva v dan, samo tako naprej.

drdrr

Bravo dr. Crnčić, vse več mladega kadra dobiva priložnost.

Krujolik

Interna napreduje, kirurgija vse slabša

Resno🫣

Bos ti zrikto pa de ok

.

pravi specialisti, kak ma profesionalno gor masko

frendi

Mogoče boš ka kda nuco.

Aj aj

Kelko napak edni najdete pri drugih.

khaa

Teraj govno ka se ma za doktora , nemajo pojma ka delajo.
Vene odstranit na nogah , pa vratne tudi ....

Gubangu

ja, kape pa jim manjkajo. sestre pa delajo prevezo na sveži operativni rani brez rokavic, toliko o njihovi strokovnosti.

Komentarji

novveter

Bolnišnica napreduje iz dneva v dan, samo tako naprej.

drdrr

Bravo dr. Crnčić, vse več mladega kadra dobiva priložnost.

Krujolik

Interna napreduje, kirurgija vse slabša

Resno🫣

Bos ti zrikto pa de ok

.

pravi specialisti, kak ma profesionalno gor masko

frendi

Mogoče boš ka kda nuco.

Aj aj

Kelko napak edni najdete pri drugih.

khaa

Teraj govno ka se ma za doktora , nemajo pojma ka delajo.
Vene odstranit na nogah , pa vratne tudi ....

Gubangu

ja, kape pa jim manjkajo. sestre pa delajo prevezo na sveži operativni rani brez rokavic, toliko o njihovi strokovnosti.

Lokalno

Vse v Lokalno

Šport

Vse v Šport

Kronika

Vse v Kronika

Politika

Gospodarstvo

Slovenija

Scena

Svet

Vse v Svet

Kultura

Vse v Kultura

Forum

Vse teme

Malice

Vsi ponudniki

Mali oglasi

Vsi oglasi